Sleep Disordered Breathing and the Healthy Start
An estimated nine out of ten children suffer from one or more symptoms related to Sleep Disordered Breathing (SDB). – JAOS, Bergersen / Stevens
Prevent Rather Than Correct
The Healthy Start System™ is a revolutionary departure from traditional orthodontics that straightens teeth and corrects Sleep Disordered Breathing (SDB). It treats children early, is non-invasive and is a natural way of straightening teeth. Dr. Cohn, Dr. Davidson and Dr. Le are among the few doctors in Winnipeg trained to offer this innovative new system!
Healthy Start Results from Real Patients
Open-Bite
Open-bite corrected with Healthy Start System

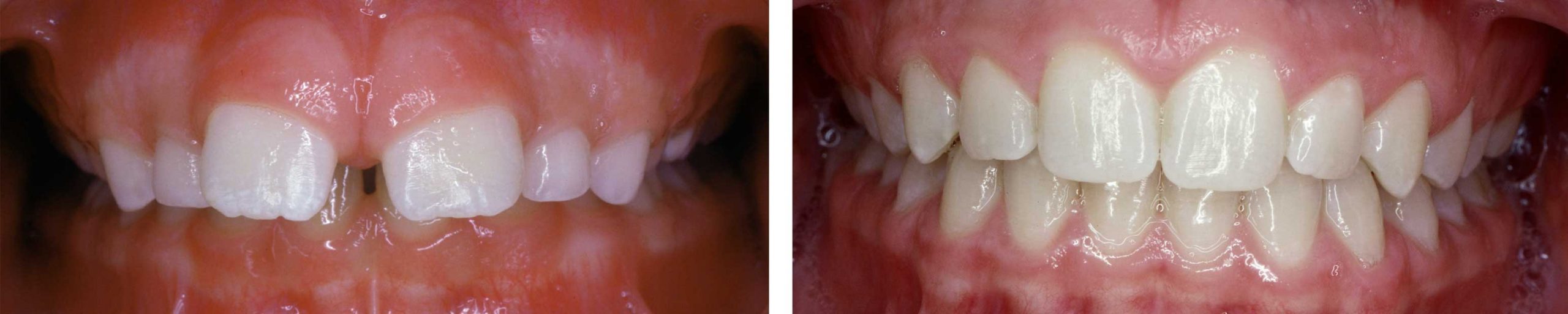
Overbite and Overjet
Overbite and overjet corrected with Healthy Start System for Preteens five years post-treatment.

Benefits of the Healthy Start System™
Dr. Cohn, Dr. Davidson and Dr. Le and their staff work hard to bring their patients the most cutting-edge dental technology with the most benefits. When you choose the Healthy Start System™, you experience the following benefits:
- Prevent crooked teeth versus correcting crooked teeth
- Achieve permanent results
- Experience no discomfort
- Treats naturally working with your facial growth and development
Beautiful Smiles are Just the Beginning
Sleep Disordered Breathing (SDB) is an all-inclusive term for breathing difficulties, ranging from mild snoring all the to severe airway obstruction during sleep. When your child’s breathing is disrupted, his or her body recognizes the disruption much like choking, therefore, slowing the heart rate, raising the blood pressure, arousing the brain, ultimately disrupting sleep. Traditionally, there have been very few answers to treating this issue, but Dr. Cohn, Dr. Davidson and Dr. Le are now using Healthy Start to treat these issues.
Causes of Sleep-Disordered Breathing
Crooked teeth, crowded teeth, or mouth breathing can cause underdevelopment of the mouth and jaw when your child’s nasal and upper airway is constricted. The Healthy Start System™ works to guide your child’s teeth into their proper position, expanding and fully developing his or her mouth and jaw.
How Can I Tell if My Child has Sleep-Disordered Breathing?
Does it ever sounds like a freight train is running through your child’s room at night or as they lay asleep in back seat on the way home from a trip? Loud snoring is one very apparent indication that your child may have Sleep-Disordered Breathing. Gasping and snorting sounds while your child sleeps may catch you off guard or even make you momentarily worry. These sounds stem from your child moving from a deeper sleep to a lighter (towards waking up) struggling to breathe.
Common Sleep Disorder Breathing Symptoms Include:
- Mouth Breathing
- Swollen Adenoids & Tonsils
- Daytime Drowsiness
- Crooked Teeth
- Restless Sleep
- Dark Circles Under the Eyes
- Snoring
- Irritability
- Frequent Headaches
- Arrested Growth
- Low Grades in Math, Science, & Spelling
How Does the Healthy Start System™ Work?
The Healthy Start System™ works with the natural forces of tooth eruption. The soft, comfortable, removable devices gently guide the erupting teeth into their perfect positions. In addition, Healthy Start aids in the correct growth and alignment of the lower jaw, expanding the arches to ensure incoming permanent teeth have enough room to erupt in straight, and develop proper oral habits.
Depending on the Age of Your Child the System Uses a Series of Appliances:
- Habit-Corrector: The habit-corrector eliminates or improves current oral habits that can damage your child’s dental health. He or she wears the habit-corrector at night while sleeping. With a design similar to that of a pacifier, your child will become used to wearing a device in his or her mouth every night. This step lasts about 1-5 months.
- Second Phase: Your child will get an appliance customized and sized for your child to wear every night. It aids the incoming teeth into their proper places, corrects jaw relations, and expands your child’s arches for the incoming adult teeth. Your child will wear this device for 2-6 months.
- Final Phase: The final treatment begins with a device that accommodates incoming adult teeth. It begins when your child has at least 4 permanent teeth. This phase is extremely important because his or her adult teeth are forming and the gum tissue fibers are starting to attach the teeth in the mouth. Healthy Start works perfectly to ensure the teeth erupt into proper alignment.
Consider the Healthy Start System™
Dr. Davidson, Dr. Cormack and Dr. Le and their staff only offer time-tested and proven procedures to their patients. Researchers and developers have carefully designed the Healthy Start System™, adaptable to each patient’s individual needs. Dr. Cohn’s, Dr. Davidson’s and Dr. Le‘s ability to determine the optimal Healthy Start System for your child makes them the dentists you want to correct your child’s Sleep Disordered Breathing symptoms.
Kids Dental strives to provide our patients with healthy, beautiful, lasting smiles. Call us today at 204-222-5437 to schedule your consultation, and give your child the gift of a Healthy Start!